Posts

SNLs Pete Davidson shows the boundary diagnosis of the boundary characteristic

SNLs Pete Davidson shows the boundary diagnosis of the boundary characteristic "Saturday Night Live" star Pete Davidson announced on Mo…

Preterm birth rates have increased in the US

Preterm birth rates have increased in the US Almost 10 per cent of US-born babies are born prematurely and the prices of premature babies are r…

The US fertility rate has just hit a historic low. Some demographers are freaked out.

The US fertility rate has just hit a historic low. Some demographers are freaked out. The United States are in the middle, which is some wo…

U.S. Teen birth rate hits a record low

U.S. Teen birth rate hits a record low Oh baby how low can you go? The youthful birth rate in the US fell by 9% from the previous year to a…

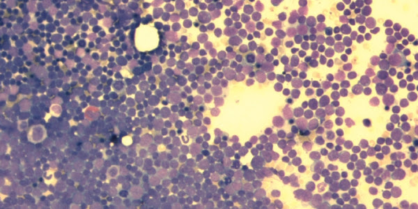
Acute myeloid leukaemia (AML) symptoms

All the symptoms described also occur in the context of other, comparatively harmless diseases and in most cases are not associated with leukemi…

Acute myeloid leukaemia(AML)

Acute myeloid leukaemia (AML)   About source of this information Acute myeloid leukaemia is a form of blood cancer.   This form of cancer de…

Breast cancer

Breast cancer   About this information Breast cancer is a cancers type that develops in the breast tissue of women and sometimes men.   This …
Cookie Consent
نستخدم ملفات تعريف الارتباط على هذا الموقع لتحليل حركة المرور، وتذكر تفضيلاتك، وتحسين تجربتك.
Oops!
يبدو أن هناك مشكلة في اتصالك بالإنترنت. يرجى الاتصال بالإنترنت والبدء في التصفح مرة أخرى.
AdBlock Detected!
لقد اكتشفنا أنك تستخدم إضافة حظر الإعلانات في متصفحك.
الإيرادات التي نحصل عليها من الإعلانات تُستخدم لإدارة هذا الموقع، نطلب منك إضافة موقعنا إلى قائمة الاستثناءات في إضافة حظر الإعلانات الخاصة بك.